Question
Question: Write two ways by which we may know the shape of the human skeleton....
Write two ways by which we may know the shape of the human skeleton.
Solution
A skeleton is made up of many bones.
These bones give your body structure.
Complete answer: The two ways by which we can know the shape of the human skeleton are:
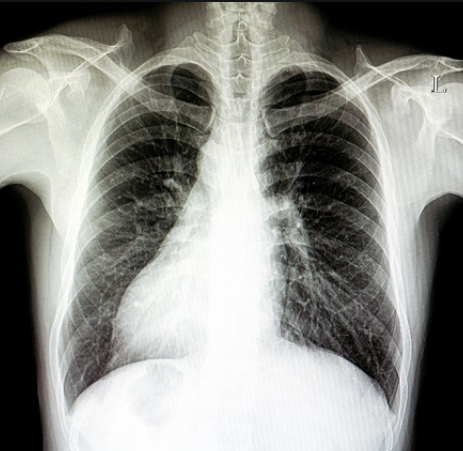
(i) X-ray images of the entire human body
(ii) Feeling the skeleton by touching the body
1. An X-ray is a quick and painless procedure commonly used to produce images of the inside of the body. It’s a very effective way of looking at the bones and can be used to help detect a range of conditions.
2. X-rays can be used to examine most areas of the body. They’re mainly used to look at the bones and joints, although they’re sometimes used to detect problems affecting soft tissue, such as internal organs.
3. The X-ray machine, which looks like a tube containing a large light bulb, will be carefully aimed at the part of the body being examined by the radiographer.
4. The skin has many types of receptors that help you feel the things that you touch.
In your body, a receptor is a structure that can get information from the environment.
5. The information is then changed into a signal that can be understood by the nervous system. Receptors that let the body sense touch is located in the top layers of the skin – the dermis and epidermis while each of these sensory receptors responds to a specific type of touch, they all act in the same way when they are activated.
6. As part of the nervous system, these receptors will fire an action potential. Action potentials are signals sent by the special cells, called neurons, that make up the nervous system.

7. They are used to share many different kinds of information within the nervous system. Action potentials from all of these receptors will send signals to both the spinal cord and the brain.
8. Bones and cartilage form the skeleton of the human body. It gives the frame and shape to the body and helps in movement. It protects the inner organs.
Note: The benefits and risks of having an X-ray will be weighed up before it’s recommended. Talk to your doctor or radiographer about the potential risks beforehand, if you have any concerns. The skeleton comprises the skull, the backbone, ribs and the breast bone, shoulder and hipbones, and the bones of hands and legs.
The bones are moved by alternate contractions and relaxations of two sets of muscles.
