Question
Question: Which are the phagocytic cells from the given diagram? 
a. I and V
b. I and III
c. I and IV
d. I and II
Solution
Phagocytes are those types of cells that engulf and “eat” other cells. Macrophages and neutrophils are the two types of phagocytes, which are both essential cells involved in immunity. Phagocytic cells are monocytes, macrophages, neutrophils, tissue dendritic cells, and mast cells.
Complete answer:
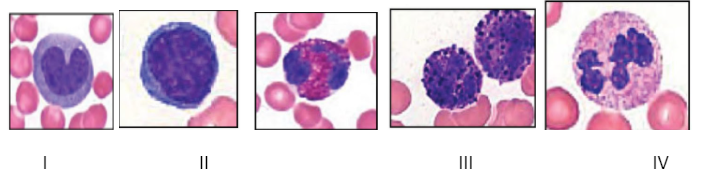
The given diagram shows different types of white blood cells(WBCs) or leucocytes.
- I represent monocytes.
- II represents lymphocytes.
- III represents eosinophil.
- IV represents basophil
- V represents neutrophil.
Out of these cells, phagocytic cells are monocytes and neutrophils i.e. I and V.
Monocytes are agranulocytes which are actively motile and phagocytic cells. Neutrophils are granulocytes that perform phagocytosis and destroy harmful bacteria entering the body.
Hence, the correct answer is option (A).
Additional information:
The phagocytosis process occurs when the cell tries to destroy foreign particles or pathogens such as bacteria or an infected cell by engulfing it in lytic enzymes. This process is also observed in single-celled organisms such as amoeba during the ingestion of food particles.
In humans, phagocyte cells protect the body by ingesting harmful pathogens like viruses, bacteria, and other infected/ dying cells. Phagocytosis is a vital aspect of the immune system and is undertaken by special cells like neutrophils and macrophages. By destroying the pathogens, the immune system stops the spread of infection or pathogens in the body.
Note: Figure I represents macrophages and figure V represents neutrophils both of which are the phagocytic cells of the body. Macrophages are precursors of monocytes, a type of agranulocytes and neutrophils are granulocytes with multilobed nuclei. Figures II, III and IV represent lymphocyte, eosinophil, and basophil respectively which do not perform phagocytosis.
