Question
Question: What is the Zona Reticularis?...
What is the Zona Reticularis?
Solution
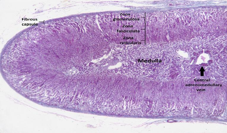
The zona reticularis contains cylindrical masses of epithelia arranged in an irregular pattern. The cells have fewer vacuoles and are smaller in size. Zona reticularis secrete adrenal androgens, glucocorticoids and oestrogen. Specifically it produces dehydroepiandrosterone (DHEA) and androstenedione. These androgens are released into the blood and transported to gonads where they get converted into testosterone and oestrogen.
Complete explanation:
The zona reticularis is the innermost layer of the adrenal cortex gland. The adrenal glands are part of the endocrine system and located on top of the kidneys. The gland is made up of an inner medulla and an outer cortex. The outer cortex is divided into three zones namely zona glomerulosa, zona fasciculata and zona reticularis. The zona reticularis is responsible for production of androgens and secreting it into the bloodstream.

Fig: Zona reticularis in adrenal cortex gland
Androgens are a group of hormones that play an important role in the development of male sexual traits and reproductive activity. They also drive the spermatogenesis process in males. Androgens are present predominantly in males and in small amounts in females. In females, they are responsible for sex drive and pubic hair growth.
Note:
The zona glomerulosa of the adrenal cortex secretes aldosterone that regulates the reabsorption rates of potassium and sodium ions. The zona fasciculata secretes cortisol and it is responsible for increased breakdown of protein and fat, increased production of glucose and decreased inflammation. The cortisol is also important in the maturation of foetal lungs. The adrenal medulla produces the hormones epinephrine and norepinephrine, which regulate the fight or flight response in the body.
